【生命奇迹,携手铸就】我院医联体协作成功救治极危重外伤患者!
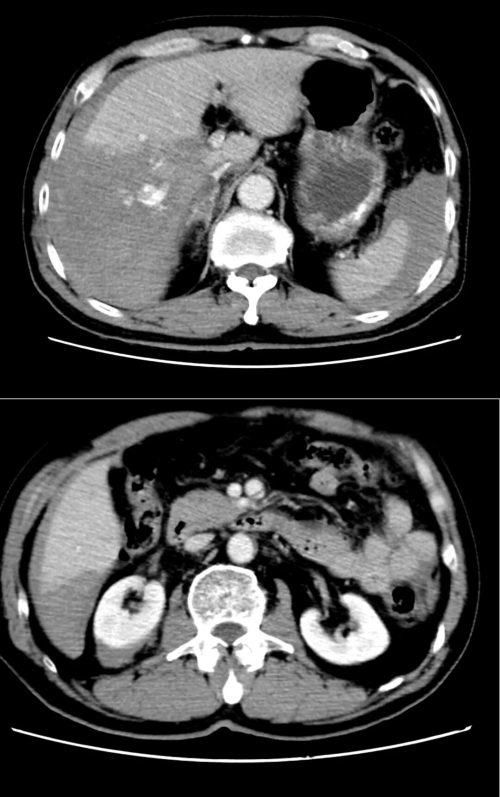
近日,一场惊心动魄的生命救援在衡阳县人民医院与南华大学附属第二医院紧密型医联体协作下圆满完成。一名因意外导致右肝破裂、肾挫伤、多发性肋骨骨折及肺部严重挫伤、一度生命垂危的患者,在两家医疗机构高效协同、多学科专家联合施治下重获新生。
患者送抵县人民医院急诊时已出现失血性休克,命悬一线。医院第一时间启动医联体应急机制,迅速对接南华大学附属第二医院,开启绿色救治通道。对方立即响应,派出涵盖肝胆外科、泌尿外科、胸外科、重症医学科等多学科专家团队火速驰援,与衡阳县人民医院医护共同开展抢救。

针对患者肝、肾、胸、肺多处严重损伤,专家团队迅速开展多学科会诊(MDT),制定精准手术及治疗方案。在南华二附院肝胆外科吴江主任的指导下,成功实施右肝不规则切除与止血手术,同时行胸腔闭式引流以稳定呼吸功能。

术后患者转入ICU,在县人民医院重症团队24小时不间断监护下,平稳度过感染关、呼吸衰竭关等重要险境。历经数周精心治疗与护理,患者肝肾功能逐步恢复,骨折稳步愈合,肺部情况大幅改善,目前已康复良好,即将出院。

本例极危重创伤患者的成功救治,充分体现医联体模式在整合优质医疗资源、打通危急重症救治“快车道”上的显著作用。通过上下联动、专家下沉、双向转诊,医联体真正实现让群众在“家门口”享受到高效、优质、连续的三甲医院水准医疗服务的目标。
未来,衡阳县人民医院将继续深化与南华大学附属第二医院的医联体合作,持续加强专科建设与人才培训,不断提升急危重症救治能力,为百姓健康提供更坚实的保障。
1
科室简介
衡阳县人民医院普外科建科50余年,是市级重点专科,技术力量雄厚,是“湖南省青年文明号”获得科室。

科室目前开放床位57张,现有高级职称5人(其中正高职称1人)、中级职称5人,研究生1人,定期派骨干医师前往华中科技大学同济医学院附属医院、湘雅医学院附属医院、南方医院、中山大学附属第六医院、湖南省人民医院等进修学习;科室以微创手术为特色,多个新术式达省内同级县医院先进水平。
2
专家简介

黄玉宝 副院长 外科副主任医师 湖南省健康委员会委员,衡阳市肝胆外科专业委员会委员,曾在湖南省人民医院肝胆胰外科进修学习,对普外科疾患诊疗有着丰富经验,目前开展腹腔镜胆囊切除数千例,尤其擅长对肝胆胰疾患的诊治。

曾新星 科主任 副主任医师 电话:13875668867 毕业于南华大学医学院,衡阳市普通外科专业委员会委员,曾在湖南省人民医院肝胆胰外科进修学习,常规开展腹腔镜下肝叶切除、巨脾切除、胆囊切除、胆道探查、腹腔镜联合胆道镜下取石、重症胆管炎经皮穿刺引流等手术,给县城患者带来福音。

凌中华 副主任医师 毕业于衡阳医学院, 衡阳市普通外科专业委员会委员,曾赴湘雅医院进修学习,2020年衡阳市疝与腹壁外科专业委员会疝手术视 频大赛二等奖获得者,率先在我县开展腹腔镜下成人疝修补术 、 小儿疝疝囊高位结扎术, 在腹股沟疝及甲状腺 、 乳腺疾病诊疗方面有着独到见解。

陈晓辉 副主任医师 毕业于南华大学医学院,从事普外科工作10余年, 曾赴南方医科大学胃肠外科进修学习, 成功开展多个腹腔镜新技术, 多个新术式成为县级第一,为胃肠及肛肠患者提供高质量的医疗诊治 。擅长胃肠急腹症 、胃肠道肿瘤 、胃肠间质 瘤 、腹膜后肿瘤及肛周良性疾病的诊治。

夏兵 副主任医师 中共党员 毕业于遵义医学院, 曾两次在湖南省人民医院肝胆胰外科进修学习,擅长复杂肝胆管结石 、肝胆胰肿瘤的诊治,对急性重症胰腺炎的诊治具有丰富的经验。

刘天文 主治医师 毕业于南华大学医学院 ,2019年在广东中山大学附属第六医院进修学习肛肠外科及疝与腹壁外科,能熟练开展各类腹腔镜下疝无张力修补术 、胃肠道恶性肿瘤根治术 、各种肛门良性疾病的手术治疗。
科室地址及电话
科室门诊:门诊部1楼
科室住院部:综合住院楼6楼
科室电话:0734-6836912
(祝成新 曾新星 杨小锋)
